主訴:排便違和感
臨床経過:50代男性。朝排便時に違和感があり臀部を確認したところ、肛門よりぶら下がる白いひも状のものを認めた。引っ張って取り除こうとしたが、1mほど引っ張ったところでちぎれたため急いで来院。
診断:日本海裂頭条虫症(捕獲虫体は1.7m。自宅でちぎれた部分を合わせると推定3m前後)

考察:日本海裂頭条虫は日本の代表的な寄生虫で、真田紐(さなだひも)に似ていることからサナダムシといわれています。幼生はサケ、マスなど日本海を回遊する魚類に寄生しています。これら魚をワイルドに生で摂取することで、幼生が体内に入り込み我々の上部空腸に寄生します。

虫体はシンプルで頭部とそれに続く片節で構成されています。頭部の先端には宿主に固着するための吸盤や鉤が発達しています。この吸盤を含む頭だけで空腸壁に接着し、残りの体は腸管内でブラブラしているのです。成長は1日で10cmと速く、成熟すると10m前後にまで成長します。小腸に1匹だけ寄生していることが多いのですが、2,3匹が同時に寄生している症例もあります。

片節は一つずつが雌雄同体で、各片節内、片節間、同居個体間でも交配が可能で1日100万個を排卵します。冷蔵技術の発達で素早く新鮮な状態で食卓に上がるようになったことも影響し、激減していた感染者は、推定年間500例前後と増加傾向と言われています。

女優のマリア・カラスがサナダムシダイエットをしていたとの俗説があるように、サナダムシを体内に宿すと栄養を吸い取られて太らないとか、免疫細胞がサナダムシにかかりっきりになることで花粉症にならないといわれていますが、医学的に証明されたことはなく、事実来院された患者さんは中肉中背でひどい花粉症でした。

10mにもなる大きな寄生虫ですからさぞ健康被害があるかと思われるかもしれませんが、日本海裂頭条虫においてはほとんど害はありません。といいますのも寄生虫が宿主のヒトを殺してしまっては自分も生き残れません。進化の過程で持ちつ持たれつの関係性を構築したと言われています。

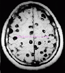
ただし寄生虫がみな大人しいかと言いますとそんなことはなく、有鉤条虫という別のサナダムシは厄介なので駆除する際には注意が必要です。虫下しを服用するとサナダムシ自体はあっけなく死んでしまうのですが、運悪く死んだ虫体の体内にあった卵が小腸内にばらまかれると、大量の幼虫が腸管内に遊出してくることになります。幼虫は腸管壁から体内に潜り込み、血管に迷入すると脳を含めた他臓器に転移し、下の図3のように有鉤嚢虫症を形成することがあります。もう、全くもってホラーの世界です。

とりあえず尻から紐が出たら近くの胃腸科へ。

